At the office of Alex Kalmanovich, DDS we offer the newest, most revolutionary and effective teeth whitening system ever developed, the KöR Whitening deep bleaching system.
The KöR Whitening system is designed to achieve permanent whitening for even the most difficult to whiten teeth with little or no sensitivity. The system includes first, an at-home whitening kit utilizing unique Deep Bleaching Trays, followed by a one-hour in-office session to obtain superior results even on tetracycline-stained teeth.
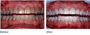
KöR Whitening was ranked highest as the most effective, reliable way to whiten your teeth permanently, by a respected dental products journal. If you are interested in this novel whitening system, give the office of Dr. Alex Kalmanovich a call today. Click below to see a brief overview of the science behind this breakthrough technology.
KöR Whitening was ranked highest as the most effective, reliable way to whiten your teeth permanently by a respected dental products journal. If you are interested in this transformational whitening system, give the office of Dr. Alex Kalmanovich a call today.
Click on the images below to see how effective Kor can be!





Interested in improving your quality of sleep? Check out our Deep Sleep Formula Supplement! Also explore the benefits of Mouth Tape!
They help you improve the quality of your sleep through nasal breathing.
PURCHASE SOLID SLEEP